歯を失った方へ
Lost a Tooth
歯を失った方へ
Lost a Tooth

歯周病の進行やむし歯、事故など、さまざまな理由で歯を失ってしまう可能性があります。こうした場合は人工歯を入れることになりますが、人工歯にはインプラント治療や入れ歯、ブリッジという3つの治療法が選択肢としてあがります。しかし、それぞれにメリットやデメリットがあり、患者さまのお悩みやご要望によっても適切な治療や費用が異なります。
鳥谷歯科医院では一人ひとりのお口の状態をしっかり確認し、その方に合った治療法をご提案します。それぞれにかかる治療期間や費用なども含めてご説明し、よく相談しながら治療法を決めてまいります。
歯を失ったままにしていると...
歯が抜けたままにしていると、歯列全体のバランスに悪影響を及ぼす場合があります。抜けた歯と噛み合う歯(対合歯)が、噛むときの刺激を求めて伸びてきたり、患部の両隣にある歯も内側へと傾いてきたりすることもあります。このように噛み合わせが崩れてしまい、噛みやすい所で噛むことで、噛む力が均等にならず対合の歯に負担がかかり、さらに歯を失う可能性が出てきます(また、歯の寿命を低下させる要因にもなります)。
歯を抜けたままで放置せず、適切な治療を行なうことが大切です。
インプラント治療
Implant

歯を失ったところの顎骨に、インプラント体とよばれる人工歯根を埋入します。骨とインプラント体がしっかり結合したら、その上に人工歯をセットします。入れ歯(義歯)のように、金属のバネなどを使わない審美性の高い治療法で、噛む力も天然歯に近い程度発揮できます。残っている天然歯への負担を抑えられ、長期的に使用できる人工歯です。
インプラント治療のメリット・デメリット
メリット
- 残っている歯に負担がかからない
- 天然歯のようにしっかり噛める
- 見た目が自然になる
- 違和感や圧迫感を抑えられる
- 適切にケアをすれば長く使える
- 取り外ししなくて良い
デメリット
- 外科手術が必要になる
- 治療期間が長くなることもある
- 自費診療になる
- 定期的なメインテナンスが必要
詳しくは
インプラント治療のページを
ご確認ください。
入れ歯
Dentures

取り外しができる人工歯で、部分入れ歯と総入れ歯の2タイプがあります。入れ歯は保険診療で作ることができますが、さまざまな機能性をもった自費診療の入れ歯も作製できます。患者さまのお口にフィットするよう精密に作ることによって、より安定する違和感の少ない入れ歯になります。患者さまのご要望などを伺いながら、適切な入れ歯をご提案します。
入れ歯のメリット・デメリット
メリット
- 保険診療で治療を受けられる
- 短期間で治療できることが多い
- さまざまな症例に適用できる
- 外科手術の必要がない
デメリット
- 噛む力が弱い(天然歯の10~40%程度)
- 装着時などに違和感がある
- 入れ歯によっては固定するための金属製のバネが目立つ
- バネの支えになっている歯が弱くなる
当院の入れ歯治療の特長
入れ歯治療に精通した院長を中心にした治療
当院では、患者さまが快適に使える入れ歯作りに力を入れています。院長は1998年からの長きにわたり、九州大学病院義歯補綴科外来医長として入れ歯治療を指導してきた実績があります。多様な経験をもつ院長を中心とした医療により、患者さまとのコミュニケーションを大切にしながらご要望に合った入れ歯をご提案します。

入れ歯の種類

総入れ歯
片顎のすべての歯がない場合に適用する入れ歯です。人工歯と土台となる床(しょう)を組み合わせており、お口の中に密着させて固定します。保険診療の入れ歯はレジンに限定されていますが、自費診療であればさまざまな材料から選択できます。

部分入れ歯
片顎に1本でも歯が残っていれば、部分入れ歯を適用することになります。保険診療は金属のバネを残っている歯に引っかけて、部分入れ歯を固定します。自費診療であれば、目立たない素材を使うなどして固定できます。
当院で扱う入れ歯について

レジン床義歯
保険診療の場合に使用する入れ歯です。費用を抑えられ、短期間で入れ歯を作製できるというメリットがあります。ただし、強度を高めるために厚みをもたせており、装着時に違和感を覚えます。また、飲食物の温度を感じにくくなります。

ノンクラスプデンチャー
保険診療の部分入れ歯は金属のバネを使いますが、しなやかさが特長のノンクラスプデンチャーは金属を使いません。装着したときの違和感を抑えられ、お口を開けたときにも目立ちません。薄く加工できるので使用感も快適です。

金属床義歯
人工歯の土台となる床(しょう)を、金属の素材で加工した入れ歯です。金属床は強度が高く、薄く作れるのが大きな特長です。装着したときの違和感を抑えるとともに、飲食物の温度を感じられるようになります。

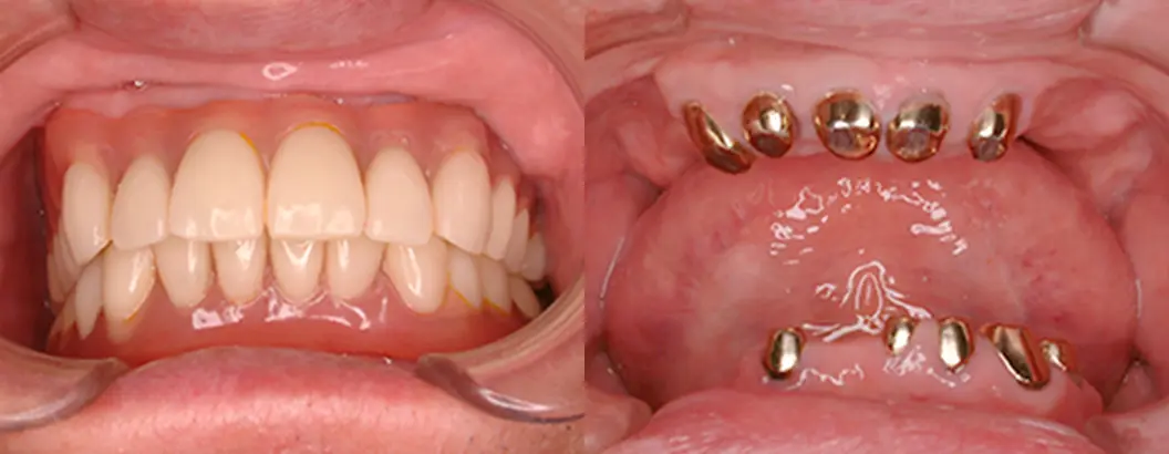
インプラントオーバーデンチャー
インプラントと入れ歯を組み合わせた補綴物で、上顎または下顎の歯を失った箇所に2~6本のインプラントを埋め込み、そこに入れ歯を取り付けます。安定性に優れ噛み心地が良く、取り外してお手入れできるので清潔です。
当院の入れ歯治療の症例をご紹介します
症例①
15年経過した
金属床総義歯の症例
上下の残っている歯に磁石を装着し、金属で補強した上下金属床の総義歯を装着。義歯の調整や修理のため、来院が1年に1、2回あるものの、症状は安定している。
症例②
2本のインプラントにより
下顎義歯を安定させた例
歯周病であった歯を抜歯し、上顎は骨隆起切除術を行った後、保険の総義歯を装着した。一方、下顎金属床義歯の安定性を向上させるため、下顎2本インプラントを埋入し、インプラントと義歯内面に装置(ロケーター)が装着されている。現在は3カ月に1度来院して義歯とインプラントメインテナンスを実施している。
入れ歯治療の流れ
Step
01
むし歯や歯周病の治療
もし、むし歯や歯周病が進行している状態で入れ歯を作って装着すると、歯や歯肉がダメージを負うことになります。お口の中の組織は入れ歯を支える役割があるため、先にむし歯や歯周病を治療し、健康的な状態に回復してから入れ歯を作ります。

Step
02
簡単な歯型取り
既製の枠を使ってお口の中を型取りします。大まかな型を取り、患者さま専用のトレーを作ります。歯の状態や顎の形などが反映された模型を作製します。

Step
03
精密な歯型取り
前回の歯型取りをもとに作製した個人トレーを使い、患者さまのお口の中をより精密に型取りします。入れ歯を安定して使えるようにするには、しっかりフィットすることが大切です。2回の歯型取りを経て、最終的な歯型を完成させます。

Step
04
噛み合わせの記録
もし、作製した入れ歯がフィットしても噛み合わせが悪ければ、噛みにくいだけでなくさまざまな悪影響を及ぼします。そのため、噛み合わせの記録は重要なステップになります。上下顎の位置や高さを丁寧に分析し、噛み合わせを決めます。

Step
05
試適
最終的な仕上がりがイメージできるよう人工歯をロウの上に並べて、歯列の噛み合わせと歯並びを確認します。

Step
06
入れ歯の完成
完成した入れ歯を装着していただき、違和感がなくなるように微調整します。調整後、入れ歯の使い方やケアの方法などをお伝えします。

入れ歯のメインテナンスについて
入れ歯を長く使っていると、人工歯の部分などがすり減ることがあります。それによって噛み合わせも変化するため、定期メインテナンスで噛み合わせの状態などを確認します。また、入れ歯を支えている歯肉の骨の状態などをチェックし、汚れや歯周病の有無を調べます。また、ご自宅での適切な歯磨き方法を共有し、ホームケアの質も高めます。

ブリッジ
Bridge

人工歯と連結した被せ物を、患部の両隣に残っている歯に被せて固定する治療法です。取り外しをする必要がなくしっかり固定されるので、入れ歯よりも強く噛めます。保険診療で作ることも可能で、費用を抑えて治療を受けられます。ただし、土台となる健康な歯を削らなければならず、歯の寿命に影響を及ぼします。
ブリッジのメリット・デメリット
メリット
- 保険適用の場合が多い
- 入れ歯よりも強く噛める
- 短期間で治療できることが多い
- 外科手術の必要がない
デメリット
- 健康な歯を大きく削る
- 歯並びの状態によっては治療できない
- 歯肉との間に汚れが溜まりやすい
- 銀歯の場合は目立つ
- 支えになっている歯にトラブルが発生しやすい
リスク・副作用
インプラント治療にともなう一般的なリスク・副作用
- 機能性や審美性を重視するため自費(保険適用外)での診療となり、保険診療よりも高額になります。
- インプラントの埋入にともない、外科手術が必要となります。
- 高血圧症、心臓疾患、喘息、糖尿病、骨粗鬆症、腎臓や肝臓の機能障害などがある方は、治療を受けられないことがあります。
- 手術後、痛みや腫れが現れることがありますが、ほとんどの場合1週間ほどで治ります。
- 手術後、歯肉・舌・唇・頬の感覚が一時的に麻痺することがあります。また、顎・鼻腔・上顎洞(鼻腔の両側の空洞)の炎症、疼痛、組織治癒の遅延、顔面部の内出血が現れることがあります。
- 手術後、薬剤の服用により眠気、めまい、吐き気などの副作用が現れることがあります。
- 手術後、喫煙や飲酒をすると治療の妨げとなるので、1週間は控えてください。
- インプラントの耐用年数は、口腔内の環境(骨・歯肉の状態、噛み合わせ、歯磨きの技術、メインテナンスの受診頻度、喫煙の有無など)により異なります。
- 毎日の清掃が不十分だった場合、インプラント周囲炎(歯肉の腫れや骨吸収など)を引き起こすことがあります。
- 妊娠中の方は治療を受けられないことがあります。
- 骨粗鬆症の方は服用中の薬によっては治療を受けられないことがあります。
入れ歯の作製・使用にともなう一般的なリスク・副作用
- 内容によっては自費(保険適用外)となり、保険診療よりも高額になります。詳細は歯科医師にご確認ください。
- 入れ歯を固定するため、患者さまの同意を得てから残存歯を削ったり抜歯したりすることがあります。
- 使用直後は、口腔内になじむまで時間がかかることがあります。
- 事前に根管治療(神経の処置)や土台(コア)の処置が必要となることがあります。
- 入れ歯を装着していない時間が長いと、残存歯の傾きや損失、歯槽骨(歯を支える骨)の吸収などが起こることがあります。
- 咬合が変化したり、固定源である残存歯が削れたり抜けたりした場合は、入れ歯の調整・修理が必要になることがあります。
- 金属を使用する入れ歯では、金属アレルギーを発症することがあります。
- 使用方法などにより、破損することがあります。
- 定期的な検診・メインテナンスが必要です。
- 顎骨の吸収を抑制できません。
ブリッジの作製・使用にともなう一般的なリスク・副作用
- 内容によっては自費(保険適用外)となり、保険診療よりも高額になります。詳細は歯科医師にご確認ください。
- 失った歯の両隣の健康な歯を削る必要があります。
- 支えになる歯に負担がかかり、将来的にその歯を失う可能性が高くなります。
- 奥の場合は金属でしか対応できません。
- 連続して歯を失っている場合、治療できないことがあります。
- ブリッジと歯肉との間に食べ物のかすが詰まりやすいので、口の中の衛生状態を保つことが難しくなります。













